
Tuberculosis (TB) remains a major global health threat that can be challenging to diagnose due to its varied presentations, earning it the nickname the “great masquerader”. It is a leading cause of death from a single infectious agent worldwide, affecting millions annually.
The Nature of TB and its Transmission
TB is caused by the bacterium Mycobacterium tuberculosis, which primarily attacks the lungs but can affect any part of the body, including the kidneys, spine, and brain. The bacteria are spread through the air when an infected person with active pulmonary TB coughs, sneezes, or speaks.
In many cases, the body’s immune system can contain the bacteria without causing symptoms, a condition known as latent TB infection (LTBI). People with LTBI are not contagious, but the infection can become active if their immune system weakens.
Symptoms of Active TB
Symptoms of active TB can be general or specific to the affected area of the body:
- General symptoms often include chills, fever, night sweats, weight loss without trying, loss of appetite, and fatigue.
- Pulmonary (lung) symptoms can include a cough that lasts longer than three weeks, chest pain, and coughing up blood or sputum.
Who is at Risk?
Certain factors increase the risk of TB infection and progression to active disease:
- Immunocompromised individuals, such as those with HIV/AIDS, diabetes, or who take medicines that suppress the immune system.
- Close contact with someone who has active TB.
- Living in or traveling to countries where TB is common.
- Environmental factors like living in crowded or unhygienic conditions.
- Lifestyle factors such as smoking and alcohol abuse.
Diagnosis and Treatment
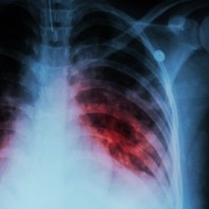
Diagnosing TB involves several methods, including skin or blood tests (IGRAs), chest X-rays, and sputum cultures.
Treatment for both latent and active TB involves a course of antibiotics. Adherence to the full regimen is crucial to effectively eradicate the bacteria and prevent the development of drug-resistant TB, which is much harder to treat. Public health strategies like Directly Observed Therapy (DOT) help ensure patients complete their treatment.
The “Unmasking” Phenomenon
The term “unmasking” is often used in the context of HIV-positive patients starting antiretroviral treatment (ART). As the immune system begins to recover, it can trigger an inflammatory response that “unmasks” a pre-existing, previously subclinical TB infection, leading to active disease or an inflammatory condition known as immune reconstitution inflammatory syndrome (TB-IRIS).
The danger of TB lies not only in its symptoms and transmission but also in its profound socioeconomic impact, which can perpetuate a cycle of poverty within affected families, disrupting education and nutrition.

Unmasking the Danger: Common Mistakes That Can Lead to Tuberculosis (TB)
Tuberculosis (TB) remains a global health challenge despite advancements in medicine. This infectious disease, caused by the Mycobacterium tuberculosis bacterium, can have devastating effects if not prevented or treated properly. Avoiding common mistakes like neglecting symptoms, improper medication adherence, and overlooking hygiene is crucial to reduce TB’s spread and protect public health.
Understanding Tuberculosis
TB chest or pulmonary tuberculosis caused by Mycobacterium tuberculosis. Primarily TB bacteria attack the lungs and then it spreads to other organs. Tuberculosis in the chest most commonly involves the lungs followed by lymph nodes, chest wall, cardiac, breast, and skeletal involvement can also occur in the thorax.
Tuberculosis is a significant cause of illness and death, especially among immune-compromised individuals.
What Are the Causes of Tuberculosis?
Pulmonary TB caused by M tuberculosis. TB is a highly contagious airborne disease.TB bacteria spread from one person to another by breathing infected droplets from infected person
Facts About TB Bacteria-
Mycobacterium tuberculosis has unique features in comparison to other bacteria-
This bacteria has a protective covering.
This bacteria shows resistance to several antibiotics
Difficulty staining with Gram stain or several other stains
This bacteria is able to survive under extreme conditions such as extremely high pH and low pH, low oxygen situations, and intracellular survival because of the protective layer.
TB is caused by the bacterium Mycobacterium tuberculosis. It primarily affects the lungs but can also spread to other parts of the body, such as the kidneys, spine, or brain. It spreads through the air when an infected person coughs, sneezes, or even talks. When someone inhales these bacteria, they may become infected, though not everyone develops active TB immediately.
There are two forms of TB:
- Latent TB: The bacteria remain in the body in an inactive state and cause no symptoms. However, latent TB can turn into active TB if left untreated.
- Active TB: This form is contagious and manifests symptoms such as a persistent cough, fever, night sweats, and weight loss.
Common Mistakes Leading to TB
1. Ignoring Early Symptoms
Many people dismiss early symptoms of TB, thinking it’s just a cold or fatigue. Persistent coughing, especially if it lasts for weeks, should not be ignored. Accompanying symptoms like unexplained weight loss, fever, and night sweats should prompt immediate medical attention.
2. Delayed Diagnosis
Delaying a visit to the doctor for proper tests can allow TB to spread further in the body and to others. Tests like chest X-rays, sputum analysis, and blood tests are essential for early detection.
3. Stopping Treatment Prematurely
This is one of the gravest mistakes. People often stop taking their medication once they start feeling better. TB treatment usually lasts for 6-9 months, and stopping midway can lead to drug-resistant TB, making treatment much more difficult.
4. Poor Hygiene Practices
TB spreads easily in crowded, poorly ventilated spaces. Neglecting basic hygiene, like covering one’s mouth when coughing or sneezing and maintaining clean living conditions, increases the risk of transmission.
5. Weak Immune System
Conditions like HIV/AIDS, diabetes, or malnutrition weaken the immune system, making it easier for latent TB to become active. Not managing these conditions properly can increase susceptibility to TB.
6. Smoking and Alcohol Abuse
Smoking damages the lungs, and excessive alcohol intake weakens the immune system, both of which can increase TB risk. Many people don’t realize how these habits contribute to the disease.
7. Not Vaccinating
The Bacille Calmette-Guerin (BCG) vaccine offers protection against severe forms of TB in children. Skipping this vaccination increases vulnerability.
8. Lack of Awareness and Education
In many communities, misinformation about TB persists. Some people think it’s hereditary or caused by curses, leading to stigma and delayed treatment. Education about the disease is vital to dispel these myths.
Preventing TB
1. Prompt Diagnosis and Treatment
Early detection is key to controlling TB. If symptoms arise, consult a healthcare professional immediately. Timely treatment prevents the disease from spreading to others.
2. Adhering to Treatment
Once prescribed medication, ensure it is taken exactly as directed. Even if symptoms subside, complete the entire course to prevent drug resistance.
3. Strengthening the Immune System
A balanced diet, regular exercise, adequate sleep, and stress management play significant roles in keeping the immune system robust.
4. Improving Living Conditions
Ensure proper ventilation in homes and workplaces. Avoid overcrowded spaces and prioritize cleanliness.
Vaccination
The BCG vaccine is particularly effective for children. Discuss with your healthcare provider whether this vaccination is suitable for you or your loved ones.
6. Avoid Risky Behaviors
Limit smoking and alcohol consumption. These behaviors not only harm overall health but also increase TB risk.
7. Community Awareness
Educate others about TB, its symptoms, and preventive measures. Reducing stigma ensures more people seek timely medical care.
Living with TB: Support and Care
Those diagnosed with TB need not feel alone. With proper treatment, most people recover fully. Support from family, friends, and healthcare providers is essential. Encouraging a healthy lifestyle, providing emotional support, and ensuring adherence to treatment can make all the difference.
Conclusion
Remember, my dear, TB is preventable and treatable if we’re vigilant and informed. By avoiding common mistakes, supporting those affected, and spreading awareness, we can keep this disease at bay. Take care of yourself and those around you, for health is truly our greatest wealth.
Q&A Section
Ques 1. How is TB transmitted?
Ans: TB spreads through the air when someone with active TB in their lungs coughs, sneezes, or speaks. Inhaling these bacteria can lead to infection.
Ques 2. Can TB be cured?
ns: AYes, TB is curable with proper treatment. Completing the prescribed course of antibiotics is essential to ensure full recovery.
Ques 3. Who is at higher risk of TB?
Ans: People with weakened immune systems, such as those with HIV/AIDS, malnutrition, or chronic illnesses, and individuals living in crowded or poorly ventilated conditions, are at higher risk.
Ques 4. What should I do if I suspect I have TB?
Ans: Consult a doctor immediately for tests and diagnosis. Early detection is crucial for effective treatment and preventing spread.
Ques 5. Why is it important to complete TB treatment?
Ans:Stopping treatment early can lead to drug-resistant TB, which is harder and more expensive to treat.
Ques 6. How can I protect myself from TB?
Ans: Maintain good hygiene, improve ventilation, avoid crowded places, strengthen your immune system, and ensure timely vaccination.